أكادير 24
بحث
الأقسام الرئيسية
  • الرئيسية
  • أكادير والجهات
  • أخبار وطنية
  • حوادث
  • خارج الحدود
  • أكادير الرياضي
  • الاقتصاد والمال
  • مجتمع
  • سياسية
  • صوت وصورة
  • كُتّاب وآراء

أكادير والجهات

سيارة للدولة يسوقها قائد تضع حدا لحياة طفل باشتوكة

سيارة للدولة يسوقها قائد تضع حدا لحياة طفل باشتوكة

منذ 9 سنوات
صحف الأربعاء:نفايات “الطاليان”على درجة عالية من الخطورة، وأوربا تغرق المغرب بـ”دواعش” منزوعي الجنسية،

صحف الأربعاء:نفايات “الطاليان”على درجة عالية من الخطورة، وأوربا تغرق المغرب بـ”دواعش” منزوعي الجنسية،

منذ 9 سنوات
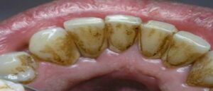
هذه أسهل طريقة فعالة لإزالة الرواسب البيكتيرية من باطن أسنان الفم

هذه أسهل طريقة فعالة لإزالة الرواسب البيكتيرية من باطن أسنان الفم

منذ 9 سنوات
سبحان الله: إمام مسجد يفارق الحياة وهو يؤم الناس في صلاة التراويح

سبحان الله: إمام مسجد يفارق الحياة وهو يؤم الناس في صلاة التراويح

منذ 9 سنوات
ترمضينة آخر رمضان تسقط بسببها روح “خطاف” بسبب خلاف حول الأسبقية على الركاب أمام المحطة الطرقية

ترمضينة آخر رمضان تسقط بسببها روح “خطاف” بسبب خلاف حول الأسبقية على الركاب أمام المحطة الطرقية

منذ 9 سنوات
رسميا، يوم غد الاربعاء أول هو أيام عيد الفطر السعيد وأكادير 24 تتمنى لكم عيدا سعيدا

رسميا، يوم غد الاربعاء أول هو أيام عيد الفطر السعيد وأكادير 24 تتمنى لكم عيدا سعيدا

منذ 9 سنوات
صدق أو لا تصدق:موظفة تحتجز والديها أسبوعا كاملا بدون أكل و لا شرب خلال العشر الأواخر من رمضان.

صدق أو لا تصدق:موظفة تحتجز والديها أسبوعا كاملا بدون أكل و لا شرب خلال العشر الأواخر من رمضان.

منذ 9 سنوات
وزارة الأوقاف

+اللائحة:أغلب الدول العربية و الإسلامية تعلن يوم غد الأربعاء عيد الفطر

منذ 9 سنوات
المصالح الامنية بأيت ملول تعتقل 133 شخصا نصفهم مبحوث عنه “وطنيا”

المصالح الامنية بأيت ملول تعتقل 133 شخصا نصفهم مبحوث عنه “وطنيا”

منذ 9 سنوات
العدوي لأعضاء الجهة”إنجاح ورش الجهوية المتقدمة مسؤوليتنا، ورهان يجب أن نربحه “

العدوي لأعضاء الجهة”إنجاح ورش الجهوية المتقدمة مسؤوليتنا، ورهان يجب أن نربحه “

منذ 9 سنوات
جندي يطلق النار على زميل له وينتحر بسلاحه الوظيفي باحدى ثكنات “تنغير”

جندي يطلق النار على زميل له وينتحر بسلاحه الوظيفي باحدى ثكنات “تنغير”

منذ 9 سنوات
بالصور: فتاة تنتحر وتترك رسالة تهز العالم… التفاصيل :

بالصور: فتاة تنتحر وتترك رسالة تهز العالم… التفاصيل :

منذ 9 سنوات
السابق 1 … 3٬333 3٬334 3٬335 … 3٬641 التالي

24 ساعة

  • 00:28
    الخصم القادم للمنتخب المغربي في ثمن نهائي كأس أمم أفريقيا: الموعد والسيناريوهات المحتملة
  • 23:16
    الركراكي يكشف “السر الحقيقي” وراء إسقاط زامبيا ويوجه رسالة عاجلة للجماهير المغربية
  • 22:10
    المغرب يكتسح زامبيا بثلاثية ويتأهل متصدراً للدور الثاني
  • 21:22
    جنوب إفريقيا تتغلب على زيمبابوي وتضمن التأهل إلى ثمن النهائي
  • 20:10
    ملعب أدرار: كرامة المتطوعين خط أحمر… والتغذية الرديئة وصمة عار تستوجب المحاسبة.
  • 12:25
    الأمطار تكشف هشاشة البنية الطرقية بأرياف تيزنيت
  • 09:30
    أكادير : الكلاب الضالة والمتشردون يغزون منطقة جيت سكن بحي السلام
  • 08:44
    بنك المغرب يحدّد أسعار صرف العملات الأجنبية مقابل الدرهم ليوم الاثنين 29 دجنبر 2025 (الجدول)
  • 08:39
    تُسجّل تراجعا بعد قمم قياسية.. المعادن الثمينة تتراجع بفعل جني الأرباح وتراجع الطلب على الملاذات
  • 08:03
    تتوقع أجواء باردة وأمطارا متفرقة.. نشرة جوية تفصّل طقس الاثنين بالمغرب
  • 19:40
    أوامر مغادرة أوروبا للمغاربة تتجاوز 6,670 في الربع الثالث 2025

صوت وصورة

الجمهور المغربي يخطف الأضواء ويكسب إعجاب الجماهير المصرية (+فيديو)

الجمهور المغربي يخطف الأضواء ويكسب إعجاب الجماهير المصرية (+فيديو)

منذ 3 أيام
(فيديو) سوق الأحد بأكادير يرتدي حلة قارية، بمناسبة احتضان فعاليات المغرب لكأس إفريقيا للأمم.

(فيديو) سوق الأحد بأكادير يرتدي حلة قارية، بمناسبة احتضان فعاليات المغرب لكأس إفريقيا للأمم.

منذ 5 أيام
سوس ماسة تحتضن الدورة الخامسة للمجلس المركزي للفيدرالية الوطنية لقطع الغيار المستعملة تحت شعار تطوير وعصرنة القطاع.

سوس ماسة تحتضن الدورة الخامسة للمجلس المركزي للفيدرالية الوطنية لقطع الغيار المستعملة تحت شعار تطوير وعصرنة القطاع.

منذ أسبوعين
اختناق بميناء طنجة المتوسط يعطل شاحنات التصدير ويثير غضب مهنيي النقل.

اختناق بميناء طنجة المتوسط يعطل شاحنات التصدير ويثير غضب مهنيي النقل.

منذ 4 أشهر
الأخصاص تحتضن الملتقى الوطني الأول لصلة الرحم لقبيلة أيت ياسين. (+فيديو و صور)

الأخصاص تحتضن الملتقى الوطني الأول لصلة الرحم لقبيلة أيت ياسين. (+فيديو و صور)

منذ 4 أشهر
أكادير 24
  • فريق العمل
  • من نحن
  • سياسة الخصوصية
  • شروط الخدمة
  • سياسة الإعلانات والشفافية
  • اتصل بنا
تابعنا على واتساب
تابعنا على فايسبوك
تابعنا على جوجل نيوز
تابعنا على منصة X
المؤسس : أحمد ازاهدي | وصل الملائمة : 51/2017 ص، وتصدر عن شركة "AGAMEDIATIS" | استضافة وتطوير شركة النجاح هوست